Available At

DR SHRAVAN PAEDIATRIC ORTHOPAEDIC CLINIC, MALLESWARAM
PH - 080 233 415 12
  • TUESDAY TO SATURDAY (5PM TO 7.30PM)
RAMAIAH MEMORIAL HOSPITAL, MATTHIKERE
PH - 080 621 530 11
  • MONDAYS (4-7 PM)
  • TUESDAYS (2-4 PM)
  • THURSDAY, SATURDAY (9AM TO 1PM)
  • SUNDAYS (2ND AND 4TH)
CONTACT DR SHRAVAN FOR EMERGENCY - +91 9886 3701 34
Emergencies Only: +91 9886 3701 34

12 +

Years of Experience in This Field

Who We Are?

DR. SHRAVAN Y. C

Meet Dr. Shravan, a dedicated and compassionate pediatric orthopedic surgeon who is devoted to providing personalized care to your child. With a warm and gentle approach, Dr. Shravan ensures that every child who walks into his clinic receives the same love, attention, and expertise as if they were his own.

Consultant - Paediatric Orthopaedics | Adolesecnt & Reconstructive Orthopeadician MBBS | MS Orthopedics | Fellowship In Paediatric Orthopaedics.

  • SPECIALITY - Orthopaedics.
About Us

Why A Paediatric Orthopaedic

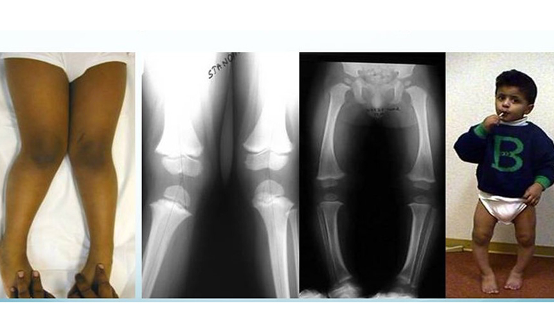
When it comes to bone and joint issues in children, seeking care from a specialist pediatric orthopedic surgeon is crucial for optimal treatment and long-term outcomes. Pediatric orthopedic surgeons have advanced training and expertise in addressing the unique needs of growing bones and joints. As children are still growing, their bodies response to injuries, infections, and deformities are different than a full grown person. In addition, the evaluation and treatment of a child is usually quite different than for an adult, even for the same problem.

What’s Unique About Dr Shravan?

Meet Dr. Shravan, a dedicated and experienced pediatric orthopedic surgeon based in Bangalore. What sets Dr. Shravan apart is his unique approach to patient care. By intentionally limiting his practice to just two hospitals, he is able to provide personalized attention to each family, taking the time to thoroughly evaluate every case and address concerns in a calm and unhurried atmosphere.

This rare approach allows Dr. Shravan to build strong relationships with his patients and their families, making him a trusted and sought-after expert in his field. With a passion for helping children overcome orthopedic challenges, Dr. Shravan is committed to delivering exceptional care and outcomes, one patient at a time.

0 +

Happy Clients

0 %

+ve Feedback

0 +

Years of Experience

0+

Successful Surgery

When should I see an Orthopaedic specialist?

You should consult an orthopaedic specialist if your child:
  • Has persistent pain or swelling in a limb or joint.
  • Experiences difficulty walking or limping.
  • Has an abnormal gait or posture.
  • Has a suspected or confirmed fracture.
  • Exhibits signs of scoliosis, such as uneven shoulders or hips.
  • Has congenital orthopedic conditions like clubfoot or hip dysplasia.
  • Is not meeting developmental milestones related to movement.
  • Needs specialized care for sports-related injuries.

Why Choose Dr. Shravan Y C?

Extensive Experience

Over 15 years of specialized expertise in pediatric orthopedics.

Personalized Care

Tailored treatment plans designed to meet each child's unique needs.

Advanced Technology

Utilization of the latest medical advancements and evidence-based practices.

Child-Friendly Environment

A welcoming clinic designed to ensure comfort and reassurance for young patients.

Proven Success

A track record of successful outcomes and satisfied families.

Parental Involvement

Strong commitment to educating and involving parents in every step of the treatment process.

Video's

Testimonials

What Our Patient’s Say

Contact Now

Choose expert care for your child’s orthopedic health. Discover GreensticKidsOrtho today.